ホワイトニング

歯の神経を取った後の変色や、生来の歯の色をホワイトニングにより白くする治療を行っています。行っている方法は場合に応じて2種類あります。




               神経を取った後の変色を白くした症例

上の左から3番目の歯 術前

薬を使って漂白をした 術後


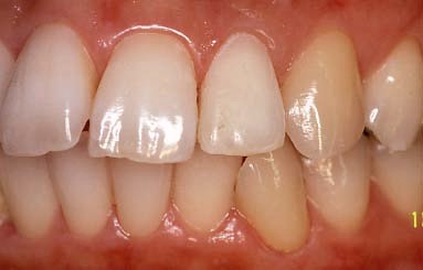
黄色い自分の歯と白い詰め物
色の差が目立つのを気にして来院
 術前

漂白した後、詰め物をやり直した
 術後



           本来の自分の歯の色をホワイトニングした症例

術前

術後

術前

術後
(ホワイトニングとメラニン除去)